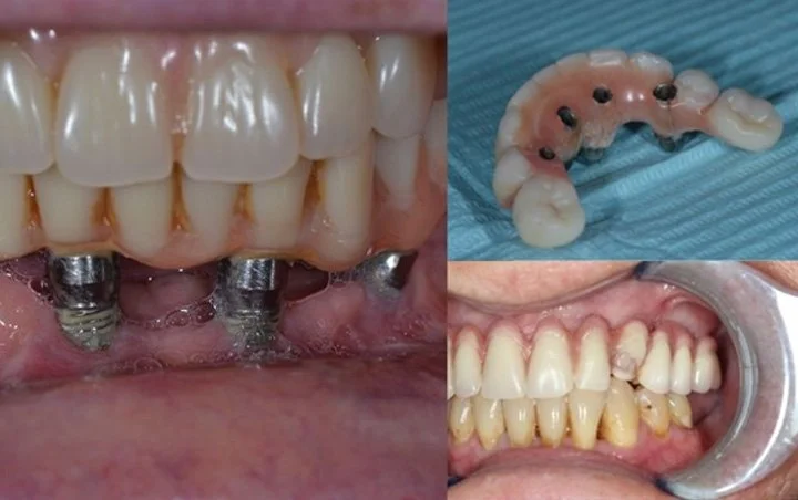
Food impaction

you're experiencing some food getting caught around your dental implant. It's important to know that this is quite common and not necessarily a sign of a problem with the implant itself or the way it was placed or restored.

In fact, research has shown that food impaction is a very frequent occurrence for individuals with dental implants. A recent study published in the Journal of Clinical Periodontology found that over 70% of patients with implants reported experiencing it. While it can be a bit annoying, it's usually easily managed and shouldn't be a cause for alarm.

Think of it this way: natural teeth have a periodontal ligament, a sort of cushioning system that helps create a tight seal around each tooth. Implants, however, are integrated directly into the bone. While this makes them incredibly strong and stable, it can also create small spaces where food particles can sometimes get trapped.

The design of the crown we chose for your implant is optimized for both function and aesthetics. We carefully consider factors like your bite, the surrounding teeth, and the overall health of your gums to ensure the best possible fit. However, even with the most precise design, it's still possible for small gaps to exist where food can get lodged. This is simply part of the nature of having dental implants.

The good news is that there are simple steps you can take to manage food impaction:

  1. Thorough Cleaning: Brush twice a day and use tools like floss, interdental brushes, or a water flosser to clean around the implant site thoroughly.

  2. Regular Dental Visits: Continue to come in for your regular checkups and cleanings so we can monitor your implant health and remove any stubborn food particles or plaque buildup.

  3. Mindful Eating: Be aware of sticky or fibrous foods that tend to get trapped more easily.

Remember, occasional food impaction is completely normal. If you experience frequent or persistent issues, or if it's causing pain or discomfort, please don't hesitate to let me know. We can then assess the situation and explore any additional options for managing it.

Please feel free to ask any questions you may have. We're here to support you and ensure you have a positive experience with your dental implant.

https://www.researchgate.net/publication/360647911_Influence_of_interproximal_peri-implant_tissue_and_prosthesis_contours_on_food_impaction_tissue_health_and_patients'_quality_of_life

了解种植牙的食物嵌塞

我明白您的种植牙周围有食物嵌塞的情况。 您可以放心,这种情况很常见,并不一定意味着种植牙本身或植入方式有问题。

事实上,研究表明,食物嵌塞在种植牙患者中非常普遍。最近发表在《临床牙周病学杂志》上的一项研究发现,超过 70% 的种植牙患者表示曾经历过这种情况。虽然可能会有些困扰,但通常很容易处理,不必担心。

您可以这样理解:天然牙有牙周膜,这是一种缓冲系统,有助于在每颗牙齿周围形成紧密密封。然而,种植体是直接植入骨骼中的。虽然这样可以使它们非常坚固和稳定,但也可能会产生一些小缝隙,食物颗粒有时会卡在里面。

我们为您选择的种植体牙冠在设计时兼顾了功能和美观。我们仔细考虑了您的咬合、周围的牙齿以及牙龈的整体健康状况,以确保最佳的贴合度。然而,即使是最精确的设计,仍然有可能存在食物残渣容易滞留的小缝隙。这只是种植牙的本质之一。

好消息是,您可以采取一些简单的步骤来处理食物嵌塞:

  1. 彻底清洁: 每天刷牙两次,并使用牙线、牙间刷或水牙线等工具彻底清洁种植体周围。

  2. 定期就诊: 继续定期检查和清洁,以便我们监测您的种植体健康,并清除任何顽固的食物颗粒或牙菌斑堆积。

  3. 注意饮食: 留意容易粘在牙齿上的食物,例如糯米、年糕等,这些食物更容易卡住。

请记住,偶尔的食物嵌塞是完全正常的。如果您频繁或持续遇到问题,或者感到疼痛或不适,请随时告诉我。届时我们会评估情况,并探讨其他处理方法。

如果您有任何问题,请随时提问。我们随时为您提供支持,确保您对种植牙有良好的体验。